|
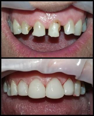
Μετεκπαιδευθείσα Αισθητικής Οδοντιατρικής UCL Η κ. Ψαρρά είναι χειρουργός οδοντίατρος, απόφοιτη Οδοντιατρικής Σχολής Αθηνών, μετεκπαιδευθείσα αισθητικής οδοντιατρικής UCL. Η συνεχής ενημέρωση για νέες επιστημονικές τεχνικές, ο επαγγελματισμός και η πολυετής εμπειρία, αποτελούν εγγύηση |
Αυτή η σελίδα χρησιμοποιεί τους Χάρτες Google και ο χάρτης θα φορτωθεί από το Google-Server και ορισμένα από τα δεδομένα σας ενδέχεται να χρησιμοποιηθούν από την Google. : //policies.google.com/privacy 'target =' _ blank '> εδώ για να δείτε περισσότερες πληροφορίες σχετικά με αυτό.
0 μέσος όρος βάσει 0 Κριτικές
{picture_path}
Δεν υπάρχουν κριτικές προς το παρόν
Για να εκτελέσετε αυτήν την ενέργεια πρέπει να συνδεθείτε
Για να εκτελέσετε αυτήν την ενέργεια πρέπει να συνδεθείτε

ΟΔΟΝΤΙΑΤΡΟΣ ΧΕΙΡΟΥΡΓΟΣ ΚΥΠΑΡΙΣΣΙΑ ΜΕΣΣΗΝΙΑ ΨΑΡΡΑ ΕΙΡΗΝΗ